Why Karsch Md Is The Top Choice For Complex Knee Repairs Today

Why Karsch Md Is The Top Choice For Complex Knee Repairs Today

Complex Knee Injury – Thai Ortho Trauma Society (T.O.T.S.)

Buy tickets for Y Not Festival at Pikehall, Derbyshire from Y Not Festival. View dates and book online today.

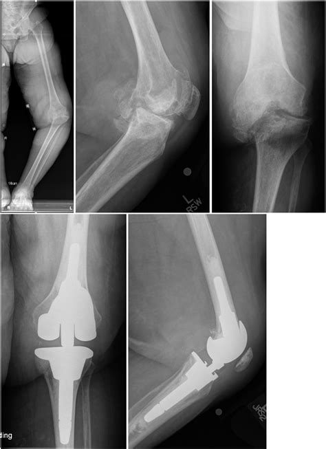
Evidence-Based Management of Complex Knee Injuries: Restoring the

Evidence-Based Management of Complex Knee Injuries: Restoring the ...

Knee Anatomy Understanding the Complex Joint Structure Knee Pain

Knee Anatomy Understanding the Complex Joint Structure Knee Pain ...

Read also: Hotel Tonight Promo Code For Existing Customers

close