Online Communities Discuss What To Do With A Verruca Safely Now
GitHub - hzxie/voj: Cross-platform online judge system based on Spring MVC framework. GitLab - hzxie/voj: Cross-platform online judge system based on Spring MVC framework. 今天刚添加了.
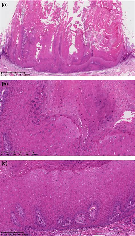
Verruca Treatment | Bromley Podiatry & Chiropody Clinic
