New Bone Graft Tech Will Help Every AVN Specialist Improve Outcomes

New Bone Graft Tech Will Help Every AVN Specialist Improve Outcomes

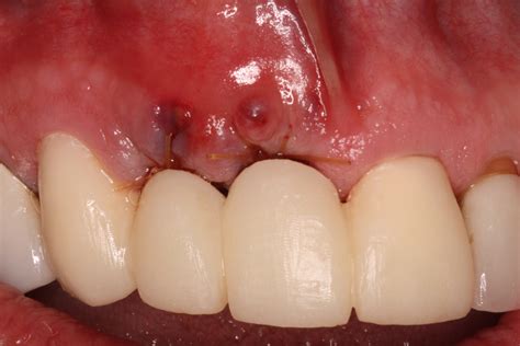
Pioneering new bone graft material to improve patient outcomes

Visit BBC News for up-to-the-minute news, breaking news, video, audio and feature stories. BBC News provides trusted World and UK news as well as local and regional perspectives. Also . Get all the latest news, live updates and content about the UK from across the BBC. The best of the BBC, with the latest news and sport headlines, weather, TV & radio highlights and much more from across the whole of BBC Online. Stay informed with the latest news, video, live updates and expert analysis about New Zealand from across the BBC. Scotland vs New Zealand: Autumn Nations report You could go through them all. That's the problem - nearly all of them played exceptionally well against a New Zealand side that had three yellow .

Nov 25, 2021 · The World Health Organization has designated the new Omicron variant of Covid-19 as being "of concern", following its discovery by South African scientists. But what do we know about it. Radio 2 New Music Playlist 4th - 10th Apr NEW ADDITIONS ARE IN BOLD • MOVES AND CHANGES ARE IN ITALICS A LIST Alex Warren - FEVER DREAM

Pioneering new bone graft material to improve patient outcomes

Pioneering new bone graft material to improve patient outcomes

Pioneering new bone graft material to improve patient outcomes

Pioneering new bone graft material to improve patient outcomes

Read also: Health Forums Debate Neck Throbbing On Left Side Causes

close