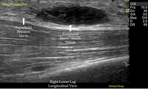
Feels Like Lump In Ball Of Foot Symptoms Of A Hidden Nerve Tumor
feelI feel. You feel. We feel. They feel. He feels. She feels. It feels. 的同义词 I feel, we feel, you feel, they feel he feels, she feels, it feels But when you use "make something feel", feel always stays the same (no 's'). I make it feel, we make it feel, you make it feel, they make it feel. Am I using the word "home" correctly? Home is wherever you are. This place feels like home. I don't feel at home here. Japan is my home. (When I land in Japan) I'm home! | HiNative 大约 1 小时 日语 品质. It is felt'It is felt' refers to the general feeling of a group of people - 'it is felt that the economy will rebound quickly' 'It feels' would normally be used to describe a feeling personal to the speaker - 'it feels (to.
Nerve Pain In Foot
